Tajemství bílých zubů: Jak se zbavit zubního plaku a zabránit jeho návratu
Zjistěte, jak efektivně odstranit zubní plak a získat bílé zuby. Praktické rady pro domácí péči a prevenci zubního kamene.
Jak pískování zubů může zlepšit vaše sebevědomí
Pískování zubů není jen čištění - je to krok k sebevědomí. Odstraňuje skvrny z kávy, čaje a tabáku, nezničí zuby a výsledek je přirozeně světlejší úsměv. Mnoho lidí po něm začíná usmívat bez strachu.
Co odstraní dentální hygiena a proč je to důležité
Dentální hygiena odstraní zubní plak, kámen a barvivá sedimentace, které domácí péče nezvládne. Ultrasonický čistič zubů je klíčový nástroj pro prevenci zánětů dásní a ztráty zubů.
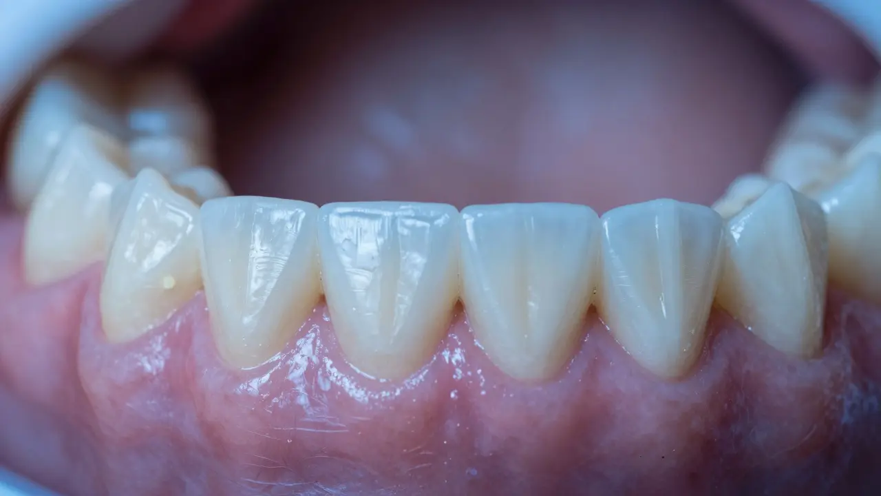
Proč mi žloutly zuby? Příčiny a co s tím udělat
Žluté zuby neznamenají špatnou hygienu. Zjistěte, proč se vám zuby žlutí - od potravin a kouření po přirozené stárnutí - a jak dosáhnout přirozenější bílé barvy bez škody na zubech.
Jak zubní plak může ovlivnit vaše zdraví: Příběhy a rady z praxe
Zubní plak je neviditelný nepřítel, kterého se většina z nás obává. V tomto článku se dozvíte, jak plak vzniká, jaké problémy může způsobit a jak se mu můžete účinně bránit. Přečtěte si příběhy z praxe a získáte užitečné rady pro každodenní péči o vaše zuby.
Vše, co potřebujete vědět o pískování zubů: Úplný průvodce
Pískování zubů je moderní a šetrný způsob odstranění zubního plaku a pigmentace, o němž by měl vědět každý, kdo si přeje zdravý a zářivý úsměv. V tomto úplném průvodci se dozvíte, co přesně pískování zubů obnáší, jaké má výhody, jak se k proceduře připravit, a také jak pečovat o svůj úsměv po zákroku. Ponořte se do světa dentální péče a objevte, jak může tento neinvazivní zákrok přispět k vašemu celkovému zdraví ústní dutiny.
