Ceník léčby tetracyklinových zubů
Vypočítejte cenu léčby
Zvolte metodu a počet zubů, které chcete léčit
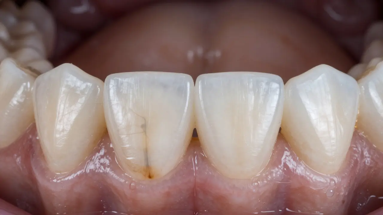
Tetracyklinové zuby nejsou jen estetický problém - jsou to trvalé změny v struktuře zubů, které vznikly už v dětství a dnes ovlivňují tisíce lidí. Pokud máte šedé, hnědé nebo pruhované zuby, které se neodstraní běžným bělením, nejste jediní. Mnoho lidí se s tímto problémem potýká, ale málo kdo ví, co skutečně funguje a co je jen zbytečná nákladná náhrada.
Co vlastně jsou tetracyklinové zuby?
Tetracyklinové zuby vznikají, když se během vývoje trvalých zubů u dětí užívá antibiotikum tetracyklin nebo jeho deriváty. Tato léčiva se vážou na vápník ve vytvářejících se zubech a vytvářejí trvalou barvu - od jemné šedé po hluboké hnědé nebo šedohnědé pruhy. Tyto změny nejsou povrchové, jako kávové nebo tabákové skvrny. Jsou vnitřní, zasahují do dentinu a zubní skloviny.
Problém se neobjeví u dospělých, kteří už mají všechny trvalé zuby. Vzniká pouze u dětí, které užívaly tetracyklin mezi 3. a 8. rokem života, kdy se zuby formují. To znamená, že dnes lidé s tetracyklinovými zuby jsou obvykle narození před rokem 1980, kdy bylo tetracyklin běžně předepisováno i pro děti. Dnes se u dětí tetracyklin už nepoužívá, ale mnoho lidí dnes stále trpí důsledky toho, co se stalo před 40 lety.
Proč bělení nepracuje?
Nejčastější odpověď, kterou lidé slyší: „Zkus bělení.“ A pak přijde zklamání. Domácí bělení, profesionální bělení, laserové bělení - všechno toto neodstraní tetracyklinové barvení. Proč? Protože barva není na povrchu. Je uvnitř zubu, ve struktuře dentinu, kde bělící látky nemohou dostat.
Studie z Journal of Esthetic and Restorative Dentistry (2023) ukázaly, že u 87 % pacientů s tetracyklinovým zubním barvením nebylo dosaženo žádného významného zlepšení po třech sériích profesionálního bělení. Někdy se barva dokonce zhoršila - když se zubní sklovina ztenčila, pod ní se projevila tmavší barva dentinu ještě výrazněji.
Co opravdu funguje?
Neexistuje jednoduché řešení, ale existují efektivní metody, které fungují dlouhodobě. Záleží na tom, jak je barvení intenzivní a kolik zubů je ovlivněných.
- Zubní vložky (veneers) - nejčastější a nejúčinnější řešení. Tenké keramické plátky se přilepí přední straně zubu a úplně zakryjí barvu. Výsledek je přirozený, odolný a trvá 15-20 let. Výhoda: nejsou potřeba žádné úpravy zubu, jen lehké škrábání povrchu.
- Keramické korunky - pokud je zub poškozený, zčernělý nebo má velkou výplň, korunka je lepší volbou. Zahrnuje víc odstranění zubní tkáně, ale zaručuje plnou kontrolu nad tvarem a barvou.
- Internal bleaching - pro zuby, které už prošly endodontickou léčbou (odmrtvené zuby). Tady se bělící látka vloží dovnitř zubu, ale toto řešení nefunguje na zuby, které jsou živé a mají tetracyklinové barvení.
- Porcelánové kompozitní vložky - levnější alternativa k keramice, ale méně odolná. Může se žloutnout nebo opotřebovat za 5-7 let. Dobrá volba pro ty, kteří chtějí levnější řešení, ale nechcí korunky.
Co se děje během léčby?
Léčba tetracyklinových zubů není rychlá. Většinou trvá 2-4 návštěvy. První návštěva je vyšetření a plánování. Dentista použije odontologický spektrofotometr - přístroj, který přesně změří barvu vašich zubů a porovná ji s odstíny, které lze dosáhnout.
Poté se rozhodne, zda jsou vložky nebo korunky nejlepší volbou. Pokud jsou vložky, vytvoří se model vašich zubů. V některých případech se používá digitální návrh (CAD/CAM) - zubní technik vytvoří vložku na počítači, a pak ji vytiskne 3D tiskárnou. To znamená, že vložka bude přesně odpovídat vašemu přirozenému zubu, v barvě, tvaru i světelné průhlednosti.
Při přilepení se používá speciální lepidlo, které nejen drží vložku, ale také blokuje světlo, aby se barva pod ní neukázala. Výsledek? Zuby vypadají jako nové - přirozené, bílé, bez pruhů.
Co stojí léčba?
Cena se liší podle počtu zubů a typu materiálu. V České republice v roce 2026:
- Kompozitní vložka: 3 500-5 000 Kč za zub
- Keramická vložka: 8 000-12 000 Kč za zub
- Keramická korunka: 9 000-14 000 Kč za zub
U 12 předních zubů to znamená od 42 000 Kč do 144 000 Kč. To zní hodně, ale mnoho lidí považuje to za investici do sebe - nejen do vzhledu, ale i do sebevědomí. Některé kliniky nabízejí splátkové možnosti, některé zdravotní pojišťovny částečně hradí výdaje, pokud je léčba spojena s funkcí (např. problémy s žvýkáním).
Co se děje po léčbě?
Po instalaci vložek nebo korunek se zuby nebudou bělit. Všechna další bělení nebudou mít vliv na tyto zuby. To znamená, že pokud chcete bělit zuby na zadní straně, budete muset přemýšlet o základním plánu - všechny zuby by měly být v stejné barvě, jinak budou vložky vypadat nevyváženě.
Je důležité dodržovat běžnou hygienu: čištění dvakrát denně, nite a pravidelné kontroly. Vložky nejsou křehké, ale mohou se poškrábat, pokud používáte agresivní čisticí prostředky. Nezapomeňte na pravidelné čištění u zubního hygienistky - každých 6 měsíců.
Co se stane, pokud to necháte jako je?
Necháníte-li tetracyklinové zuby bez úpravy, nestane se nic zdravotně vážného. Zuby neztratí svou funkci. Ale estetický problém může mít psychologický dopad. Mnoho lidí s tetracyklinovými zuby se vyhýbá smíchu, fotografiím, sociálním kontaktům. Studie z European Journal of Orthodontics (2024) ukázaly, že lidé s výrazným zubním barvením častěji trpí úzkostí a nízkou sebevědomostí - obzvláště v dospělosti, kdy se vzhled stává důležitou součástí sebeidentifikace.
Nejde tedy jen o barvu. Jde o to, jak se cítíte, když se podíváte do zrcadla.
Co je důležité si zapamatovat?
- Tetracyklinové zuby nejsou běžným zubním zbarvením - bělení je neefektivní.
- Nejlepší řešení jsou keramické vložky nebo korunky.
- Neexistuje „levnější“ řešení, které by fungovalo stejně dobře.
- Léčba je investice, ale může změnit kvalitu života.
- Nečekáte na „když bude mít více peněz“ - každý rok bez léčby zvyšuje riziko, že se ztratí příležitost k přirozenému výsledku.
Můžou tetracyklinové zuby vzniknout i dnes?
Ne. Tetracyklin se u dětí už od konce 70. let nepoužívá, protože bylo zjištěno, že způsobuje trvalé zubní barvení. Dnes se pro děti používají jiná antibiotika, jako je amoxicilin. Pokud máte tetracyklinové zuby, pravděpodobně jste je získali v dětství před rokem 1980.
Je možné tetracyklinové zuby bělit laserem?
Ne. Laserové bělení funguje jen na povrchové skvrny, jako jsou kávové nebo tabákové zbytky. Tetracyklinové barvení je vnitřní - laser nemá přístup k místu, kde je barva uložená. Většina klinik už toto nezakládá jako možnost, protože je to neúčinné a může způsobit poškození skloviny.
Je tetracyklinové zubní barvení dědičné?
Ne. Barvení není genetické. Vzniká pouze kvůli užívání tetracyklinu během vývoje zubů. Pokud jste dítě nebo vaše dítě nebralo tetracyklin, nemůže mít tetracyklinové zuby. To znamená, že neexistuje riziko, že by to předali dětem.
Co je lepší - vložky nebo korunky?
Vložky jsou lepší, pokud jsou zuby zdravé a mají dostatek skloviny. Korunky se používají, když je zub poškozený, má velkou výplň nebo je zčernělý. Vložky zachovávají více původní tkáně, jsou méně invazivní a vypadají přirozeněji. Korunky jsou silnější, ale vyžadují více odstranění zubní tkáně.
Můžu si vybrat, jak bílé budou zuby?
Ano. Výběr barvy je plně vaši volbě. Dentista a zubní technik vám ukážou několik odstínů - od přirozeně bílého po „studénkově bílou“. Doporučuje se volit odstín, který odpovídá vašemu přirozenému odstínu kůže a očí. Příliš bílé zuby mohou vypadat uměle. Cílem je přirozený vzhled, ne „bílý zubní plak“.
Kam dál?
Pokud máte tetracyklinové zuby, neztrácejte čas na neúčinné metody. Navštivte zubního lékaře, který se specializuje na kosmetickou stomatologii. Většina klinik v Brně, Praze nebo Ostravě má zkušenosti s tímto problémem. Požádejte o konzultaci s fotografií vašich zubů - mnoho klinik nabízí bezplatné online hodnocení.
Tetracyklinové zuby nejsou vada. Jsou jen příběhem, který se odehrál před mnoha lety. A dnes máte možnost tento příběh přepsat - do jednoho, kde vaše úsměv nezakrývá nejistota, ale sebevědomí.
