Porovnání nákladů: nalepovací zuby vs zubní korunky
Spočítejte, co vám stojí víc v dlouhodobém měřítku
Zadejte, jak dlouho potřebujete zubní náhradu, a porovnejte náklady obou variant. Připomínáme: nalepovací zuby jsou levnější na začátku, ale často vyžadují výměnu za 3-7 let.
Výsledek
Chcete nahradit chybějící zub, ale nevíte, jestli si vybrat nalepovací zuby nebo tradiční zubní korunku? Mnoho lidí si na začátku myslí, že nalepovací zuby jsou levnější a jednodušší řešení - a mají pravdu. Ale je to skutečně ta správná volba pro vás? Nebo se za pár let budete smět na zubní korunku, která vám vydrží desítky let?
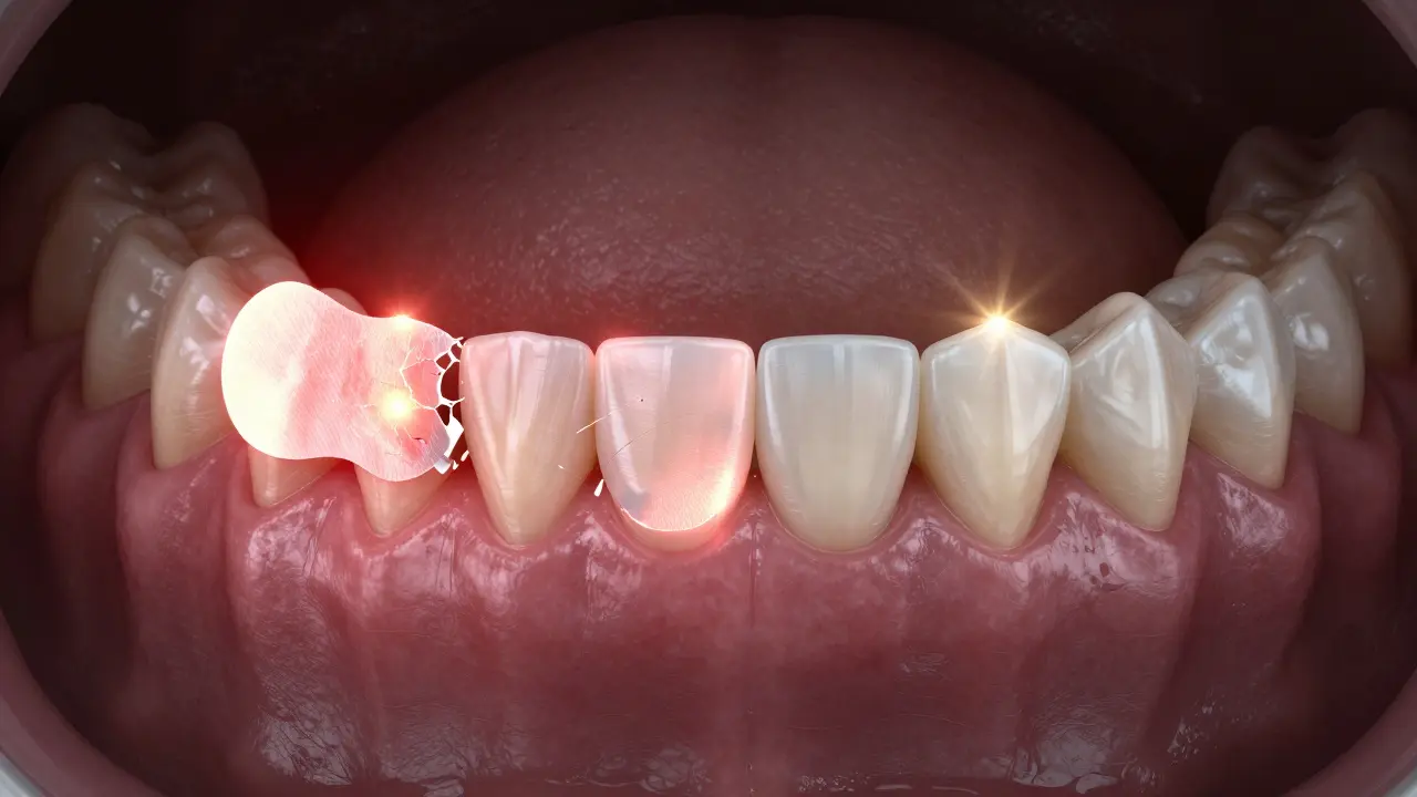
Nalepovací zuby: co to vlastně je?
Nalepovací zuby, nebo také adhezivní mosty, jsou dočasné nebo polojednoduché zubní náhrady, které se přilepí k sousedním zubům pomocí speciálního lepidla. Nejčastěji se používají pro náhradu jednoho nebo dvou zubů v přední části úst. Vypadají jako přirozené zuby, protože jsou vyrobeny z kompozitních materiálů, které se přizpůsobují barvě vašich zubů.
Nejznámější typy jsou Maryland mosty - ty mají kovové nebo keramické „křídla“, která se přilepí ke zadní straně sousedních zubů. Tyto zuby nevyžadují značné zubní zásahy, protože nejsou nutné běžné brusení zubů, jak tomu je u korunek.
Problém je v tom, že tyto náhrady nejsou navržené na dlouhodobé používání. Studie z Journal of Prosthetic Dentistry ukazují, že přibližně 30 % nalepovacích zubů se odlepí nebo poškodí během prvních tří let. V některých případech se lepidlo rozpadá, zub se vysune, nebo se poškodí zub, ke kterému byl přilepen.
Zubní korunky: co to vlastně znamená?
Zubní korunka je trvalá náhrada, která obklopuje poškozený nebo chybějící zub kompletně. Pokud máte chybějící zub, korunka se obvykle upevňuje na zubní implantát nebo na sousední zuby, které se předem připraví - tedy trochu se odbrousí, aby se k ní vhodně přizpůsobila.
Korunky se dělí podle materiálu: keramika, zirkonie, kovové legury nebo kombinace. Nejčastěji se dnes používají zirkoniové korunky - jsou pevné, estetické a nesnášejí alergie. Výroba trvá 2-3 týdny a vyžaduje alespoň dvě návštěvy u zubního lékaře.
Na rozdíl od nalepovacích zubů korunka funguje jako skutečný zub. Její životnost je 15-25 let, pokud se o ni správně staráte. V některých případech dokonce přesáhne 30 let. Není třeba se bát, že se odlepí při kousnutí do jablka nebo při hovoru.
Porovnání: cena, trvanlivost a zdraví zubů
Když se rozhodujete mezi těmito dvěma možnostmi, nejde jen o to, co vypadá lépe. Důležité je, co vám dlouhodobě vydrží a co neublíží vašim přirozeným zubům.
| Parametr | Nalepovací zuby | Zubní korunky |
|---|---|---|
| Cena (za jeden zub) | 3 000-7 000 Kč | 8 000-20 000 Kč |
| Životnost | 3-7 let | 15-30 let |
| Příprava zubů | Minimální - nebo žádná | Velká - sousední zuby se odbrousí |
| Stabilita při kousání | Nízká - mohou se odlepit | Vysoká - fungují jako přirozené zuby |
| Vliv na sousední zuby | Může poškodit sklovinu při odlepování | Poškozuje zuby při přípravě, ale je trvalé řešení |
| Estetika | Velmi dobrá - přirozený vzhled | Velmi dobrá - zirkonie vypadá jako skutečný zub |
Co si z toho odnést? Nalepovací zuby jsou levnější na začátku - ale pokud se za pět let musíte vrátit k zubnímu lékaři kvůli jejich odlepování, může se ukázat, že jste zaplatili dvakrát. A navíc, každé odlepování může poškodit sklovinu sousedních zubů - a to je náklad, který se nedá odhadnout v penězích.
Kdy je nalepovací zub dobrý výběr?
Není to všechno špatné. Nalepovací zuby mají své místo - a to v konkrétních situacích.
- Pokud potřebujete dočasnou náhradu, například zatímco čekáte na implantát.
- Pokud nemůžete nebo nechcete podstoupit chirurgický zákrok (například kvůli zdravotním důvodům).
- Pokud je chybějící zub jen v přední části úst a nezatěžujete ho při kousání (například malý špičák).
- Pokud máte omezený rozpočet a chcete si nechat zkontrolovat, jak by vypadala trvalá náhrada.
Je důležité vědět: nalepovací zuby nejsou náhradou za zubní implantát. Jsou to dočasné řešení - a pokud je používáte jako trvalé, riskujete ztrátu i sousedních zubů.
Kdy je lepší zubní korunka?
Zubní korunka je výběr pro ty, kteří chtějí řešení, které vydrží. Pokud máte:
- Chybějící zub, který se používá při kousání (například druhý přední zub nebo molár).
- Poškozený zub, který už nemůže vydržet plomby nebo jiné zásahy.
- Chcete trvalé, stabilní a estetické řešení bez opakovaných návštěv.
- Možnost investovat na začátku, aby vám to v budoucnu nevyšlo dražší.
Korunky nejsou jen o vzhledu. Jsou o funkci. Pokud ztratíte zub, který se podílí na žvýkání, může se to projevit bolestí čelisti, zhoršením stravy, dokonce i změnou tváře - protože zuby podporují obličejovou strukturu.
Co říkají zubní lékaři?
Většina zubních lékařů v Česku doporučuje zubní korunky jako první volbu, pokud je to možné. Výjimkou jsou jen případy, kdy pacient nemůže podstoupit trvalý zákrok.
Podle výzkumu České stomatologické společnosti z roku 2024 se 78 % zubních lékařů vůbec neodporuje k nalepovacím zubům - ale pouze jako dočasné řešení. Více než 60 % z nich hlásí, že jejich pacienti, kteří si vybrali nalepovací zuby jako trvalé řešení, se po 4-6 letech vrátili s poškozenými sousedními zuby.
„Nalepovací zuby jsou jako lepidlo na obraz - můžete ho použít na dočasnou úpravu, ale ne na trvalé vystavení slunci a dešti,“ říká zubní lékařka z Prahy, která má 18 let zkušeností.
Co dělat, když nemůžete si dovolit korunku?
Nejste jediný, kdo se bojí vysoké ceny. Ale neznamená to, že musíte vybrat nalepovací zuby.
- Možná máte možnost zubního implantátu - který je drahý, ale je jediné trvalé řešení, které nezatěžuje sousední zuby.
- Některé zubní kliniky nabízejí úvěrové programy s nulovým úrokem na 12-24 měsíců.
- Veřejné zdravotní pojištění pokrývá část nákladů na korunky, pokud jsou výrazně poškozené zuby v zadní části úst.
- Nezapomeňte na prevenci - pokud máte jiné zuby, které se začínají rozpadat, můžete si ušetřit budoucí náklady na náhrady.
Nezapomeňte: nejlevnější volba není ta, která stojí nejméně na začátku. Je to ta, která vám během života nestojí nejvíc.
Co si pamatovat?
Nalepovací zuby nejsou špatné. Jsou jen krátkodobé. Pokud potřebujete rychlé, levné a estetické řešení na pár let - jsou to skvělá volba. Ale pokud chcete zub, který vám vydrží 20 let a nebude vás budit noční bolestí nebo návštěvami u zubního lékaře - zubní korunka je jediná správná cesta.
Nezapomeňte: zuby nejsou jen o tom, jak vypadáte. Jsou o tom, jak dobře jíte, jak se cítíte a jak dlouho budete mít přirozený úsměv.
Můžu si nechat nalepovací zuby na všechny chybějící zuby najednou?
Ne. Nalepovací zuby nejsou navržené na náhradu více než dvou zubů najednou. Pokud máte více chybějících zubů, zubní lékař vám doporučí most, implantáty nebo částečnou zubní protézu. Nalepovací zuby nevydrží větší zátěž a mohou poškodit celou čelist.
Je možné přejít z nalepovacích zubů na korunky?
Ano, je to možné - ale často se musí připravit zuby, které byly přilepeny. Pokud se přilepení poškodilo sklovinu, může být nutné zubní lékaři nejdříve zub opravit nebo dokonce odstranit. To zvyšuje náklady a čas. Proto je lepší od začátku zvolit trvalé řešení, pokud to vaše zdraví a rozpočet dovolí.
Můžu jíst normálně s nalepovacími zuby?
Můžete - ale s omezeními. Doporučuje se vyhýbat tvrdým potravinám, jako jsou ořechy, mrkev, jablka nebo kosti. Také se vyhýbejte lepkavým potravinám, jako je karamel nebo žvýkačka. Nalepovací zuby se mohou odlepit při běžném kousnutí, pokud nejsou pevně přilepené.
Je přilepení nalepovacích zubů bolestivé?
Ne. Proces přilepení není bolestivý. Nejsou potřeba anestetika, protože nejsou žádné zásahy do zubu. Ale pokud se zub později odlepí a musíte ho znovu přilepit, může dojít k podráždění dásní nebo citlivosti. To je důvod, proč se některým lidem po několika měsících začnou dásně zčervenat nebo bolet.
Kolik stojí oprava poškozeného nalepovacího zubu?
Oprava se obvykle pohybuje mezi 1 500 a 4 000 Kč, v závislosti na tom, zda se musí přilepit znovu nebo vyměnit celý zub. Pokud došlo k poškození sousedního zubu, může se cena zvýšit na 10 000 Kč a více. To je často víc než cena nové korunky.
Co dělat dál?
Nemějte strach z rozhodnutí. Většina lidí si nejprve vybere nalepovací zuby - a pak se s nimi vypořádávají. Ale pokud máte možnost, zvažte zubní korunku. Je to investice do vašeho zdraví, ne jen do vzhledu.
Nejprve si naplánujte konzultaci s zubním lékařem. Nechte si udělat rentgen, zkontrolovat stav vašich zubů a zjistit, co je pro vás skutečně nejlepší. Nechte si vysvětlit všechny možnosti - nejen ty nejlevnější.
Zuby nejsou jen o tom, jak vypadáte. Jsou o tom, jak dobře žijete. A to je hodnota, která se nevyplatí šetřit na začátku.
