Nástroj pro hodnocení rizika černého zubního kamene
Zjistěte, jaké jsou vaše rizikové faktory pro vznik černého zubního kamene a zápachu z úst. Tento nástroj vám pomůže pochopit, zda byste měli posílit svou ústní hygienu nebo navštívit zubního hygienika.
Černý zubní kámen není jen estetický problém. Pokud ho máte, pravděpodobně si všimnete, že váš dech přestal být čerstvý - a to i poté, co jste si zuby pečlivě vyčistili. Mnoho lidí si myslí, že zápach z úst přichází z žaludku nebo z nosu, ale často je příčinou právě ten černý nános na zubech. A není to jen o páchnutí. Je to signál, že něco v ústech nefunguje tak, jak by mělo.
Co je vlastně černý zubní kámen?
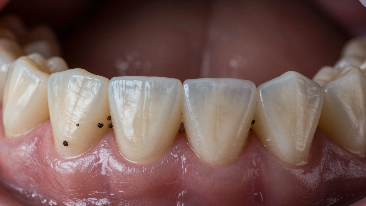
Černý zubní kámen je druh tvrdého nánosu, který se tvoří na povrchu zubů, hlavně u základů zubů nebo mezi zuby. Liší se od běžného zubního kameně tím, že má tmavou, často černou nebo hnědou barvu. Vzniká, když se plak - ten tenký, lepkavý film bakterií - dlouho nesmývá a postupně se váže minerály ze slin. Ale co ho zčernává?
Nejčastější příčinou je železo. Pokud užíváte železité doplňky stravy, černé léky na žaludek nebo máte příliš vysoký obsah železa ve slinách, může se toto železo spojit s bakteriemi a vytvořit tmavý nános. Další častý viník je kouření - nikotin a smog z cigaret se vplétají do plaku a zčernávají ho. Někdy to přichází i z kávy, černého čaje nebo tmavých nápojů, ale ty obvykle vytvářejí jen povrchové zbarvení, ne pevný kámen.
Černý zubní kámen se často objevuje u lidí, kteří mají nízký přítok slin - například kvůli užívání některých léků, dehydrataci nebo syndromu suchých úst. Slina je přirozený čistič - když jich máte málo, bakterie a nečistoty se jednoduše nahnízdí.
Proč černý zubní kámen způsobuje zápach z úst?
Bakterie, které tvoří plak a později kámen, nejsou jen neviditelné. Jsou aktivní. A jednou z jejich hlavních „prací“ je rozkládat zbytky potravy - hlavně cukry a bílkoviny - a přitom uvolňovat pachové látky. Tyto látky se jmenují volatilní sírové sloučeniny (VSC). Jsou to přesně ty, které dělají váš dech nepříjemný. A když se tyto bakterie usadí v černém kameni, mají ideální domov: chráněný, vlhký a plný potravy.
Černý kámen je jako mikroskopická koupelna pro špatné bakterie. Nejenže je těžké ho odstranit běžným čištěním, ale navíc jeho drsný povrch zachycuje další zbytky jídla, které se pak rozkládají. A to znamená, že i když si zuby čistíte dvakrát denně, tyto bakterie v kameni pokračují ve své práci - a vašemu dechu to nezakryjete ani ústní vodou, ani žvýkačkou.
Studie z Journal of Clinical Periodontology ukázaly, že lidé s výrazným zubním kamenem mají třikrát vyšší hladinu těchto pachových látek ve vdechovaném vzduchu než lidé bez kamenů. A černý kámen je často ten nejhorší případ - protože je hustší, tvrdší a obsahuje více bakterií než běžný kámen.
Kdo má největší riziko?
Není to jen o tom, jak často si čistíte zuby. Někteří lidé jsou přirozeně více náchylní. Například:
- ti, kteří užívají železité doplňky (např. při anémii)
- kouřící lidé - i ti, kteří kouří jen pár cigaret denně
- lidé s chronickým suchým ústem (z důvodu léků, věku nebo onemocnění)
- ti, kteří piji mnoho černého čaje, kávy nebo tmavých nápojů
- osoby s nízkou ústní hygienou - nejen kvůli nedostatečnému čištění, ale i kvůli tomu, že nečistí mezery mezi zuby
Často se to stává i u dětí, které užívají tekuté železité přípravky - ty zanechávají tmavé skvrny na zubech, které se pak proměňují v kámen. A to i když děti čistí zuby každý den.
Co můžete dělat doma?
Domácí metody pomohou jen omezeně. Černý zubní kámen je tvrdý - nejde ho odstranit běžným kartáčkem nebo nití. Ale můžete zpomalit jeho růst:
- Používejte zubní pastu s fluoridem a oxidem zinečnatým - tyto látky pomáhají zpomalit tvorbu plaku.
- Čistěte si zuby alespoň dvakrát denně, ale hlavně - používejte zubní nit nebo mezi zubní kartáček. Tam se kámen často tvoří.
- Po každém pití čaje nebo kávy si opláchněte ústa vodou. Nečekáte na zubní kartáček.
- Pijte více vody - zvláště pokud máte suchá ústa. Slina je vaše nejlepší přírodní ochrana.
- Pokud užíváte železité doplňky, zkuste je brát s jídlem a ne na prázdný žaludek. To snižuje jejich kontakt se zuby.
Nezapomeňte: žvýkačky, ústní vody a čerstvé měnění dechu neřeší příčinu. Jen maskují příznaky. A když je kámen už tam, tyto věci ho neodstraní.
Jak se černý zubní kámen odstraní?
Jediný účinný způsob je profesionální čištění u zubního hygienika. Neexistuje žádný domácí prostředek, který by ho odstranil bez poškození zubů. Zubní hygienik používá speciální přístroje - ultrazvukové čističky a jemné nástroje - které odstraní kámen bez poškození skloviny.
Proces je rychlý - obvykle 30 až 60 minut. Není bolestivý, pokud nemáte citlivé dásně. Po čištění se zuby nejen zbaví kamenů, ale i plaku, což znamená, že váš dech se výrazně zlepší. Mnoho lidí popisuje, že po prvním čištění „vůně z úst přestala být problém“ - a to i bez použití jakýchkoli dalších produktů.
Nečekáte, až se kámen zhorší. Pokud už máte černé skvrny na zubech, nejde o otázku „kdy“ - ale „jak brzy“. Čím dříve ho odstraníte, tím méně škody způsobí. Dlouhodobě může vést k zánětu dásní, odkrytí kořenů zubů a dokonce k jejich ztrátě.
Co dělat po čištění?
Po odstranění černého kameně je důležité zabránit jeho návratu. Základ je konzistentní hygiena:
- Čistěte si zuby 2× denně - alespoň 2 minuty každý krát.
- Mezi zuby čistěte každý den - ne jen když se vám to „zdá“ potřebné.
- Navštěvujte zubního hygienika každých 6-12 měsíců - i když nic nebolí.
- Pokud užíváte železo nebo kouříte, řekněte tomu hygienikovi. Může vám doporučit speciální pastu nebo postup.
- Nezapínejte se na „čisté“ zuby. Kámen se tvoří během dní, ne hodin.
Největší chyba, kterou lidé dělají, je myslet si, že když se kámen odstranil, problém je vyřešen. Ale když se nezmění vaše návyky, kámen se vrátí - a často rychleji než předtím.
Je černý zubní kámen nebezpečný?
Ano. Není to jen o dechu. Tento typ kameně je spojen s větším rizikem zánětu dásní - gingivitidy a parodontitidy. Bakterie v kameni neustále uvolňují toxiny, které poškozují tkáně kolem zubů. Pokud to trvá dlouho, může dojít k ztrátě kosti kolem zubů. A to je nevratné.
Studie z roku 2023 z European Journal of Oral Sciences ukázaly, že pacienti s černým zubním kamenem měli o 40 % vyšší riziko pokročilého parodontitidy než ti, kteří měli jen běžný kámen. A to i když se oba skupiny čistili stejně dobře. Kámen s železem je prostě agresivnější.
Nezapomeňte: zápach z úst není jen nepříjemný - je to vaše tělo, které vám říká, že něco není v pořádku. A když se to týká úst, je to vždy důvod k akci - ne k zanedbání.
Co dělat, když se vám to stále opakuje?
Pokud se vám černý kámen objevuje i po pravidelném čištění, je čas se podívat hlouběji. Možná:
- Užíváte lék, který způsobuje suché ústa (např. antidepresiva, léky na krevní tlak)
- Máte nějaké metabolické onemocnění (např. cukrovka)
- Užíváte železité doplňky, které byste měli zkontrolovat s lékařem
- Nečistíte mezery mezi zuby dostatečně
V takovém případě je vhodné navštívit nejen zubního hygienika, ale i svého lékaře. Někdy je příčina v těle - ne jen v ústech.
